Dental News & Education
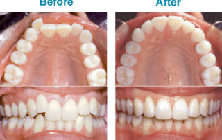
What’s The Difference Between Invisalign & Braces?
At the age of six, the baby teeth fall out, and permanent teeth grow in their [...]
Questions To Ask Your Dentist
Visiting our general dentist in Monroe provides an opportunity to find out more about dental problems. [...]
The Importance Of Teeth Cleaning
The importance of teeth cleaning from a qualified Monroe Family Dentistry practitioner. There are very few feelings [...]
5 Tips For Your Child’s Oral Health Care
It can be difficult to raise children to use healthy habits. However, ensuring dental health in [...]
7 Horrifying Things Flossing Helps Prevent
Brushing your teeth twice a day is important for your oral health, but if you are [...]
How Annual Checkups Help To Maintain White Teeth
Your smile says a lot about you, and can even affect your self-esteem. One of the [...]
Ways To Help You Prepare For Your Invisalign Treatment
Are you getting ready to use Invisalign? That's awesome! Improving your smile is a great investment [...]
Unsure if Invisalign Is right For You?
You may have had the same crooked teeth for many years and you may have gotten [...]













