Dental News & Education
Benefits of Straightening Your Teeth
Monroe Family Dentistry in NC provides you with the information need about straightening your teeth. While you [...]
Top 4 Reasons to Whiten Your Smile
Having a whiter smile can give you a lot of benefits. You can feel better about [...]
Choosing Your Dental Crown
Getting a dental crown is a big step towards preserving the health of your teeth after [...]
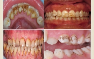
Learn More About Teeth Discoloration
What Causes Teeth To Change Colors Teeth discoloration causes can be a mystery but it is a [...]
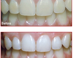
Professional Teeth Whitening by Our Cosmetic Dentist
Professional Teeth Whitening in Monroe NC Brushing and flossing every day helps but professional teeth whitening [...]
Dr. Mjahed Talks About Invisalign Clear Braces
Are Invisalign Clear Braces For You? Invisalign Clear Braces is the answer to getting straight teeth [...]
8 FAQs About Invisalign from Our Monroe Dentist
1. What is Invisalign? Invisalign is a set of virtually-invisible aligners that are designed to straighten [...]
How Oral Health Affects Overall Health
Monroe Family Dentistry Practitioners Focus on Your Health Research has repeatedly linked oral health with health in [...]













