Dental News & Education
2307, 2018
Tooth Fillings Options Explained
It’s likely that at some point in their lives, most people will have to have [...]
2307, 2018
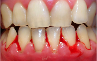
Why Are My Gums Bleeding? Monroe NC Dentist Explains
Bleeding gums are caused by plaque build-up, due to inadequate brushing and flossing. If you [...]
2307, 2018
Bad Breath Home Remedies
We’ve all done that thing where we cup our hand over our mouths and breathe [...]
2307, 2018
The Best Toothbrush Recommended By Dentists
A walk down the toothbrush aisle in the drug store can be far more confusing [...]
2504, 2018
Oral Cancer Risk Factors
The Oral Cancer Foundation reports an estimated 50,000 Americans are diagnosed with oral cancer [...]
2203, 2018
Are Your Wisdom Teeth Impacted?
5 signs you need a wisdom tooth extraction Wisdom teeth, sometimes called the third set [...]
1503, 2018
Have Allergies and Sinus Tooth Pain?
Are allergies making your teeth hurt? If you suffer from spring allergies, you’ve probably felt [...]
1509, 2017
Ways of Keeping Your Teeth Naturally White
Everyday food and drinks can stain your teeth. Many do not like this unsightly appearance, [...]













